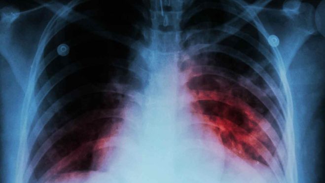
La sección de Epidemiología del Servicio Territorial de Sanidad de la Delegación Territorial de la Junta en León desmiente que haya un brote de tuberculosis en la provincia de León. A raíz de un caso positivo informado el 18 de abril, el ST se coordina con Atención Primaria y con Especializada para la realización de las pruebas de tuberculina de los contactos estrechos en el centro de acogida donde vivía la persona positiva (más de 5 horas al día al menos 5 días a la semana).

Con la prueba de tuberculina (o Mantoux), lo que se comprueba es si una persona tiene o no Mycobacterium tuberculosis en su organismo. Si esta sale positiva, puede ser que tenga la enfermedad activa y la pueda contagiar o simplemente que tiene el germen en el cuerpo de manera latente (por contacto con alguien enfermo o simplemente por vacunación en la infancia con la BCG). Es decir, se necesitan más pruebas, aparte del Mantoux, para determinar si puede transmitir la enfermedad: rx de tórax, cultivo de esputo o la prueba de IGRA (ensayo de liberación de interferón gamma en sangre). Las pruebas de imagen han sido informadas por un neumólogo del CAULE. En este caso, de 34 contactos estrechos que se estudiaron ninguno tiene tuberculosis.
Así, aclaran que actualmente no hay ningún caso más que el del fallecido y a los que fueron contactos estrechos se les trata profilácticamente, pero no tienen ni síntomas ni pruebas de imagen compatibles con la enfermedad. Aun así, están en seguimiento por sus MAPs siguiendo los protocolos de Salud Pública.
Si quieres que te llegue lo más importante y avisos de última hora, envía SUSCRIBIR o ALTA a nuestro número de Whatsapp +34 659 04 27 34 y formarás parte de nuestra lista de distribución de noticias. Es gratis y te mantiene informado con lo más relevante